China3D printingNet October 13th, Chinese saying goes that toothache is not a disease, but it hurts terribly!A group of researchers published in the recently published “Digital Manufacturing of Occlusal Splints: From Intraoral Scanning to3D printing》, explored how to use a new digital workflow to create an intraoral splint. Dentists use these devices to treat temporomandibular diseases because they force muscles to relax, protect teeth, and so on.
With the continuous development of 3D technology, manufacturing processes in the dental field are also constantly evolving. These processes have3D scanning, CAD technology and3D printingMachine, used to manufacture dentures and a range of other equipment.
In this case, the researchers chose to study a 44-year-old man who had problems with his jaw muscles. When the doctors checked his chewing system, they did not find any health conditions, except for the pain caused by his temporal temporal and lateral pterygoid muscles. Some people suspect that he may be accustomed to clenching his chin, causing pain. The doctor decided to put an intraoral splint on him to relieve pain and study the “repositioning” of the “mandible”.
The researchers said: “With the accuracy and efficiency of the digital workflow, you can use digital intraoral scanners and3D printingMachine to make splints. “
The team used a scanner to photograph all the teeth and save the reads.stl fileTo proceed3D printing. However, the first scan associates the upper and lower virtual models. The initial settings allowable parameters include:
40°TMJ elevation angle
10° Bennet angle
40°Cut Angle Guide Angle
The researchers explained: “According to the patient’s preferences, the occlusal plane is designed to be retained by the lower teeth, and the upper teeth have only one contact with the appliance.”

Digital model design of splint
Use 3D Systems’ 3D ProJet MJP 3600 Dental to perform intraoral splints with VisiJet®M3 Stoneplast acrylic resin3D printing. Once inserted and evaluated, the doctor found that the intraoral splint required little adjustment. The patient should wear a splint when sleeping during the day or at home.The pain relieved after three weeks; however, the patient was instructed to continue using the splint for six months to completely cure hispain.

The splint uses multiple nozzles3D printingMachine-made and verified on the prototype model
now3D printingMachines are becoming more and more popular in dental clinics.However, for dentists, production on a chair can be time-consuming, so authors currently tend to entrust design and production to more familiar CAD software and3D printingMachine dental technician.
3D printingIt has had a huge impact in the dental field and has improved the quality of life of many patients, from dental implants to orthodontics to new manufacturing systems.

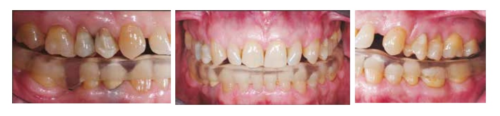
Intraoral photos of splints
China3D printingNet original article!
(Editor in charge: admin)

0 Comments for “3D printed occlusal splint relieves pain in dental patients in just a few weeks”